TOPICS
Home
TOPICS
LECTURE NOTES
ECG
CHEST RADIOLOGY
SIGNS IN CHEST
HELPFUL LINKS
CASE OF THE WEEK
FREE BOOKS
JOURNALS
CHEST MEDICINE CHALLENGE
FOR PATIENTS/PUBLIC
OTHER SUBJECTS
THESIS TOPICS
Privacy Policy Statements
Blog
Recommended Books
Gallery
Question papers
MCQs
MASTERCLASS IN RESPIRATORY MEDICINE
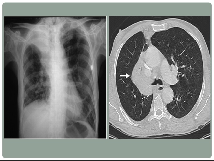
Golden S Sign
Email This
BlogThis!
Share to X
Share to Facebook
Share to Pinterest
By Dr Arun M, KMC Mangalore
Related Posts Widget
Newer Post
Older Post
Home